● 鋼管等金屬材料按其性能與用途,一般分為結構材料和功能材料。結構材料是以力學性能為主要特征;功能材料是以物理、化學等性能為主要特征。二者性能的不同是由微觀結構和元素屬性所決定。
● 鋼管等金屬材料的失效行為主要取決于微觀結構和宏觀形態的變化。確定不同材料的失效模式、失效機理、失效缺陷與失效起因的相互關系,是失效分析學科的核心內容。
失效含義:
國標GB3187-82《可靠性基本名詞術語及定義》的定義
失效 :“產品喪失規定的功能,對可修復產品通常稱為故障。”
◆ 《材料大辭典》的定義*
失效,又稱復合材料的破壞,指復合材料在經過某些物理、化學過程后(如載荷作用、材料老化、溫度和濕度變化等)發生了尺寸、形狀、性能的變化而喪失了規定的功能。
◆ 《美國金屬學會手冊》的定義*
  按照 《ASM  Handbook 》的定義,服役的任何
構件出現以下三種狀態之一時即為失效:
(1)完全不能修復時;
(2)仍可以使用,但不能滿意地達到規定的功能時;
(3)受到嚴重損傷而不能繼續安全可靠地使用時。
失效分析的關系
● 失效分析是要明確失效模式、失效缺陷、失效機理
與失效起因的相互關系
◆ 失效模式(failure mode)
失效模式是指構件失效后的外觀表現形式,即可觀
察到的并可測量的失效的宏觀特征。比如,脆性斷裂、
疲勞開裂 、接觸磨損等。
有五種:
(1) 斷裂 (fracture)
(2) 腐蝕 (corrosion)
(3) 磨損 (wear)
(4) 變形 (distortion)
(5) 衰減 (attenuation) : 微結構隨時間而漸變弱化
鋼管等金屬材料的失效模式與失效機理的關系

◆ 失效缺陷(failure defect)
失效缺陷是導致構件損壞 (損傷)的實際缺陷。比如,裂紋、腐蝕坑、磨損帶、分層等。
◆ 失效機理(failure mechanism)
失效機理是致使構件失效所發生的物理、化學的變化過程,即失效的微觀機制。例如,腐蝕模式下的電偶腐蝕、縫隙腐蝕、晶界腐蝕、點蝕,等等。
◆ 失效起因(failure cause )
失效起因是促使失效機理起作用的關鍵因素。比如,超載、疲勞載荷、電極電位差、微動摩擦等。
● 泰坦尼克號的失效模式、機理、缺陷與起因的關系
泰坦尼克號是20世紀初世界上最大的豪華游輪。
它長260m、寬28m、高51m、噸位46328t,可載客3000多人,總耗資7500萬英鎊。船體結構的設計采用了雙殼層和十六個相互隔離的水密艙等安全措施,因而當時被認為是一艘“永不沉沒的”巨輪。
它的處女航是在1912年4月10日從英國南安普頓出發前往紐約的,航速為22節,但4月14日晚11:40分在北大西洋與一塊漂浮的大冰山相撞,由于船體左側六個水密艙全部破裂進水,2小時47分后就沉沒了。
船上共有2208人,僅705人獲救,1503人葬生海底,這是迄今為止世界上發生的最大的海事事故。



● 事故調查結論
在對泰坦尼克號船板備用件進行材料性能檢驗后,發現存在大量的MnS夾雜物, 縱橫向韌脆轉變溫度分別是 320C、560C , 而當時的水溫是 -20C。
可以推定, 泰坦尼克號與冰山相撞時的失效特征是脆性斷裂 (失效模式),這是因為船板和鉚釘都含有大量的MnS夾雜物及其他超標有害元素P等。船板在冰山的撞擊下夾雜物處就引發了許多裂紋 (失效缺陷),這些裂紋隨后在海浪的持續作用下發生了快速疲勞擴展 (失效機理) ,最終導致了船體的斷裂。
因此,泰坦尼克號的失效是由船板和鉚釘內大量的MnS 夾雜物和冰山撞擊力的相互作用下發生的疲勞脆性斷裂而引起的 (失效起因)。
失效分析的策略
● 產品質量管理法
◆“五要素法”
“人、機、料、法、環” (4M1E分析法)
◆“六要素法”
“人、機、料、法、環、測”(5M1E分析法)
● 構件的失效分析
分析人員不僅要有材料、工藝、結構、力學、 控制等專業知識,還要懂得安裝、運行、維護、環境等工程知識,同時熟悉標準、規范、規程,以及包括心理學在內的一些管理知識。
● 失效的影響因素
(1) 材料選用不適
(2) 結構設計欠妥
(3) 制造質量一般
(4) 安裝方式不當
(5) 檢測方法常規
(6) 人員操作有誤
(7) 維護過程疏漏
(8) 工況介質復雜
(9) 外部環境變化
(10) 失效機理不明
(11) 防護措施簡單
(12) 管理制度不嚴
 ●  失效分析的完整
從技術角度出發,一個完整的失效分析應該考慮八個方面的影響因素:
(1) 設計 (design)
(2) 材料 (material)
(3) 制造 (fabrication)
(4) 安裝 (installation)
(5) 檢驗 (inspection)
(6) 操作 (operation)
(7) 維護 (maintenance)
(8) 環境 (environment)
失效分析的魚骨圖

● 失效分析是事后分析,最好的方法應是事前分析, 比如, FMEA (Failure Modes and Effect Analysis)、 RBI (Risk-based Inspection), etc.

變形失效
彈性變形失效----彈性變形過量,雖表面未發現任何損傷痕跡,但彈性性能已達不到原設計要求。例如汽車彈簧,經長期使用后松弛性能降低導致不能起緩沖作用塑性變形失效
塑性變形失效----變形量超過極限,不能再使用。經長期運轉后的汽輪機葉片逐漸伸長發生塑性變形而與殼體相接觸,使汽輪機不能正常運行。
蠕變變形失效----零件長期在高溫和應力作用下,即使小于屈服應力也會緩慢地產生塑性變形,這種現象稱為蠕變,當蠕變變形量超過規定數值后就會失效,甚至產生蠕變斷裂。
高溫松弛失效----零件在高溫下失去彈性功能而導致失效。例如蒸汽輪機的高溫緊固螺栓經長期使用發生松弛,使蒸汽輪機不能正常工作。
斷裂失效----塑性斷裂
塑性斷裂失效:當構件所承受的實際應力大于材料的屈服強度時,將產生塑性變形,應力進一步增大,就會產生斷裂,稱為塑性斷裂失效。
塑性斷裂的特征:在裂紋或斷口附近有宏觀塑性變形,或者在塑性變形處有裂紋出現;塑性斷裂的一種典型斷口是抗拉試樣的杯錐狀斷口,杯部呈纖維狀特征,錐部呈淺灰色的光滑區,并與杯部或45o角。塑性斷口微觀形態主要為韌窩。根據韌窩的形狀可分析斷裂時所受應力的性質,如韌窩為等軸,受正應力作用,如杯錐狀斷口的杯部。韌窩為拉長呈方向性,受剪切應力或撕裂應力作用,如杯錐狀斷口的錐部。韌窩的大小與形核數量、材料韌性、溫度、應變速率有關;材料韌性好、夾雜或第二相粒子少、溫度高、應變速率慢則韌窩尺寸大;反之則韌窩尺寸小。
塑性斷裂的原因:通常情況下塑性斷裂是由于外應力超過材料的屈服強度所致(材料強度過低或超載)。
韌窩-變形斷面SEM

斷裂失效---脆性斷裂
脆性斷裂是指斷裂前幾乎不產生顯著的塑性變形
按裂紋擴展的路徑分為穿晶脆性斷裂和沿晶脆性斷裂。
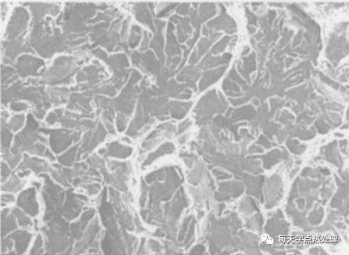
解理斷裂----解理斷裂是穿晶脆斷的一種常見的主要斷裂方式。解理斷裂是指在一定的條件下,金屬因受拉應力作用而沿某些特定的結晶學平面發生分離。鐵素體鋼的解理面為{100}晶面。


準解理-脆性斷面SEM

斷裂失效--脆性斷裂---沿晶脆性斷裂
裂紋沿晶粒界面擴展而造成金屬材料的脆斷稱為沿晶脆性斷裂。通常晶界是強化的因素,即晶界的鍵合力高于晶內,只有在晶界被弱化時才會產生沿晶斷裂。
晶界弱化的基本原因----材料本身或環境介質或高溫的作用
*晶界沉淀相造成的沿晶斷裂----由晶界的夾雜和第二相沉淀所造成的,晶界上的析出相通常是不連續的,呈球狀、棒狀或樹枝狀,晶界沉淀相越多,斷裂應力越低
*雜質元素在晶界偏聚造成沿晶脆斷----如Ge、Sn、N、P、As、Sb、Bi、S、Se、Te等。低合金鋼的第二類回火脆性(合金鋼在回火后慢冷或在375~560oC等溫產生晶界脆化和沿晶斷裂)。
*環境介質侵蝕而引起的沿晶斷裂----高強度鋼的氫脆、應力腐蝕
*高溫下的沿晶斷裂。
斷裂失效----脆性斷裂失效---疲勞斷裂
機械零件在循環交變應力的作用下引起的斷裂稱為疲勞斷裂。在機械構件的斷裂失效中,疲勞斷裂所占的比例最高,達70%以上。
疲勞斷裂的類型----高周疲勞、低周疲勞、熱疲勞、接觸疲勞、腐蝕疲勞、微振疲勞、蠕變疲勞等。
疲勞方式

輪胎花樣

韌窩帶

二次裂紋帶

產生疲勞斷裂的常見原因
材料強度不足引起的疲勞斷裂;
零件結構上有尖角、鍵槽、圓角等應力集中區;
夾雜、疏松、氣孔、微裂紋等材料缺陷;
表面缺陷,如凹坑、折疊、加工刀痕;
熱處理缺陷,如表面脫碳、過熱

疲勞斷口的宏觀特征

疲勞輝紋





